男同视频

男同视频

| 联系我们 |
男同视频动态
   
停诊公告:




您当前位置:男同视频 > 男同视频动态  > 医院新闻
医院新闻

男同视频 成功诊治 首例嗜酸粒细胞性胃肠炎

稿件来源:消化内科  韩 晨    编辑:杨光     上传时间:2019年7月30日
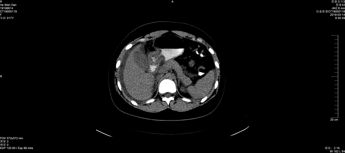
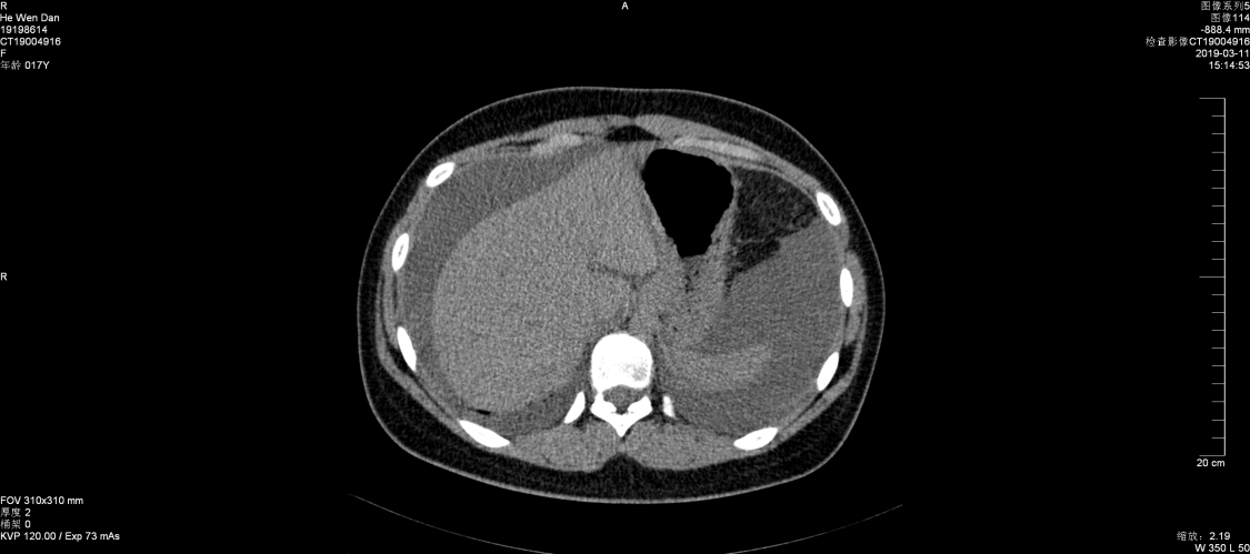
       2019年3月11日,消化内科收治一名女性患者,16岁,以“腹胀1周、腹泻、腹痛1天”之主诉入院,查体:生命体征平稳,皮肤未见皮疹,心肺未见异常,腹部有柔韧感,无明显压痛,移动性浊音阳性。B超提示盆腔、腹腔积液,门诊按“急性胃肠炎”收治。入院后检查结果,血常规:白细胞22.52×109/L,嗜酸细胞比率21.2%,最高达48.6%。嗜酸细胞计数:10.81×109/L,B超提示腹膜增厚,伴大量腹水。胃镜检查:胃窦部粘膜充血、水肿,幽门狭窄,疑幽门梗阻,胃镜活检可见大量嗜酸细胞浸润。
       张永红主任查房考虑为嗜酸粒细胞性胃肠炎,组织全科讨论,结合临床表现及检查结果,并排除引起嗜酸性粒细胞增多的疾病,最后诊断为:嗜酸粒细胞性胃肠炎。果断给予强的松30mg一次/日,三天后症状减轻,腹水减少,复查血常规、腹部B超较前好转,一周后患者腹水消失,症状消失,除嗜酸细胞值高以外,血常规正常,痊愈出院。建议病人定期门诊复查,目前激素仍在减量之中......
       【嗜酸粒细胞性胃肠炎】是一种极少见的疾病,Kaijiser在1937年首次报道。病因迄今不明,多认为是局部或全身变态反应所致,本病缺乏特异性临床表现。主要表现为腹痛或不适,恶心、呕吐、焦虑、肠梗阻、腹水等慢性症状。临床可将其分为三型:粘膜型、肌层型、浆膜型,以上三型可单独或混合出现。血常规检查嗜酸性粒细胞升高或正常,大便隐血阳性,腹水含大量嗜酸性细胞,内镜活检:弥漫性嗜酸性粒细胞浸润。Talley提出的诊断标准:①有胃肠道症状;②病理活检有一个或一个以上部位的嗜酸粒细胞浸润;③除外引起嗜酸性粒细胞增多的疾病。治疗主要避免可能诱发的过敏原,首选激素治疗。